
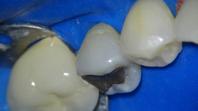
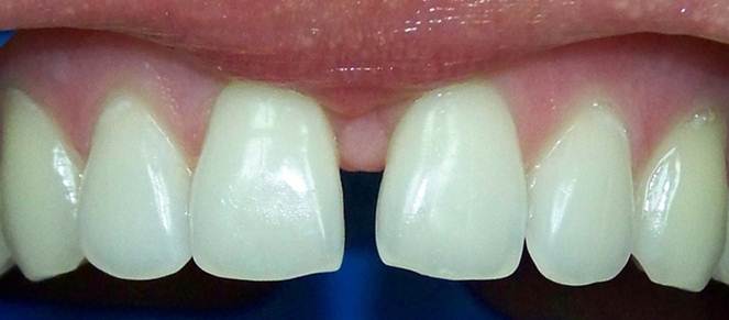
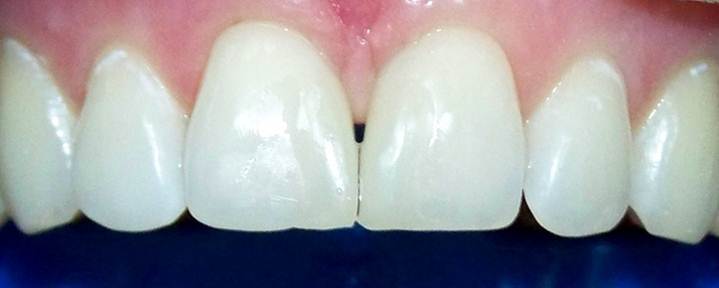
Quality Microscope Dentistry
Get the best in dental care for your family.
At Jorge F. Zapata DDS, you will see the difference in your smile.
Our quality microscope dentistry methods will give you healthier teeth and a brighter smile.
Call today for an appointment: 801-394-5240










